ITKOM      (044) 494-43-39 (38, 37)          магазин   ·   поиск   ·   содержание   ·   новинки   ·   барахолка   ·     

OLYMPUS TRUELUX

Основная страница по TrueLux

.
OLYMPUS TRUELUX

Even when shooting from as near as 25 cm from the subject, the TrueLux system ensures perfect illumination and, together with the high-performance Olympus digital cameras, assures first-class results.

The TrueLux's cold light was developed especially for microscopy and, consequently, is also ideal for macro photography. Comprising a ring light with a 2 metre fibre optic cable and cold light source, it fits around the camera's lens to guarantee homogenous illumination and true-colour results. Also, since the light is constant and not a momentary flash, any undesirable flash reflections can be detected before the shutter is released and therefore avoided.

The optional polarisation filter removes unwanted reflections.

Digital capture presents the photographer with a wealth of opportunities and greater flexibility. For example, the images may be archived, edited, placed on the internet or sent by email.

A PROFESSIONAL SET-UP

This professional device fits on either the CAMEDIA C-3040ZOOM or C-2040ZOOM, together with the CLA-1 adapter and macro conversion lens. A polarisation filter is optionally available to remove unwanted reflections. This combination of high-quality optics, superior illumination and high-resolution CCDs ensures highly-precise macros.

While the digital images may be stored on a PC or CD, for instance, they may also be printed on-site using the optional high-resolution printers, P-400, P-200 and P-330NE. The photo-realistic prints are automatically laminated for protection and, with the P-400, may even be produced in A4 format.

NUMEROUS APPLICATION OPTIONS

The stunning results and digital versatility the Olympus TrueLux system offers means it is ideal for professional tasks and also suited for individual, private projects.

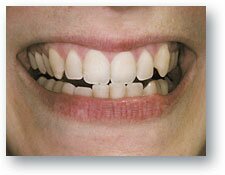
The precision and true-to-life colour provided by this innovative solution makes TrueLux perfect for many scientific applications. Medical professionals, such as dental technicians, are able to accurately record images concerning dental treatment and healing processes. Close-ups of biological or mineral specimens may be captured and archived or emailed to colleagues for a second opinion.

Jewellers, online shops and auction houses, for example, will also be able to photograph their smallest items in stunning, close-up detail.

Collectors, both private and commercial, of coins, stamps and other small objects will likewise recognise the benefits of this system for cataloguing and displaying their collections.

.
.

БАРАХОЛКА
Продай свой ноутбук!
Цену придумай сам.
PLANTRONICS M3500
Bluetooth гарнитура. Впервые! DSP-процессор подавляет окружающий шум.
Цена: 590
PLANTRONICS MX150
Самая защищенная гарнитура! Защита: от выпадания, от шума, от скачков громкости.
Цена: 95

Цифровое фото  Цифровые диктофоны  Цифровые плееры  Карты памяти SanDisk  Карманные переводчики  Гарнитуры для телефонов  Наушники KOSS  КПК  Портативное видео  Фотоаппараты  Новинки  Лицензионное коробочное ПО  Магазин  Барахолка  Поиск

Copyright (c) 1999-2003 by itkom.com.ua
Перепечатка материалов возможна только со ссылкой на сайт itkom.com.ua